Danske Svampe
Explore
Species
Trips
About
Archive
Species
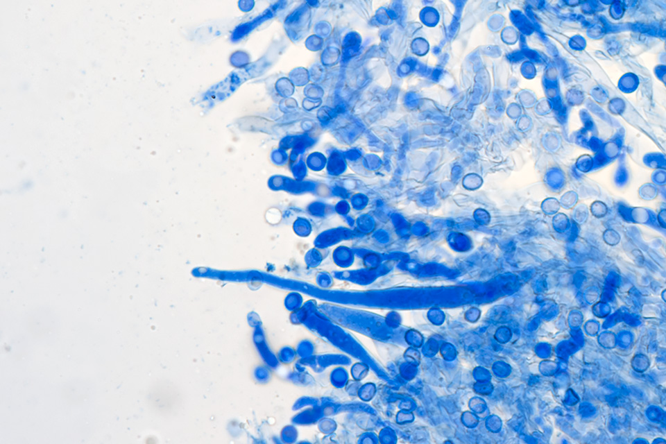
Hypochnicium punctulatum